Неприятный запах от ран при циррозе печени и асците связан с нарушением обмена веществ и токсикозом, возникающим из-за недостаточной функции печени. При этом происходит накопление токсичных веществ в организме, что приводит к изменению химического состава пота и выделений, включая раневую экссудацию.
Кроме того, асцит может способствовать развитию инфекций в полости живота и на коже, что также усиливает запах. Бактерии, проникающие в раны, производят летучие соединения, способствующие неприятному аромату, что ещё больше усугубляет ситуацию.
- Цирроз печени приводит к нарушению метаболизма токсинов и продуктов распада, что может вызывать неприятный запах.
- Асцит (скопление жидкости в брюшной полости) может способствовать инфекциям и образованию гноя, усиливающего запах.
- Недостаток дыхательной способности печени приводит к накоплению аммиака, который может выделяться через кожу и раны.
- Развитие пролежней при ограниченной подвижности пациентов увеличивает риск инфекционных процессов и неприятного запаха.
- Сопутствующие заболевания, такие как диабет и почечная недостаточность, могут усугублять проблемы с запахом.
Асцит: причины, симптомы, лечение
Асцит представляет собой накопление жидкости в области брюшной полости. Это состояние обычно развивается как следствие заболеваний печени, поджелудочной железы, почек, матки и придатков, а В случае сердечно-сосудистых проблем и некоторых видов рака.
Суть этой патологии заключается в просачивании жидкой части крови через стенки сосудов. В нормальных условиях данный процесс способствует увлажнению кишечных петель и других органов, что позволяет им перемещаться без трения и образования спаек. Однако, когда образуется избыточный экссудат или транссудат, он скапливается в пустотах между органами, что приводит к их сдавлению, смещению и нарушению функции, увеличивая объем живота.
Курс лечения асцита сосредоточен на устранении причины, спровоцировавшей его возникновение. Это может включать употребление мочегонных средств, а в тех случаях, когда состояние тяжелое, излишняя жидкость может быть удалена из брюшной области с использованием специальной иглы.
Причины асцита
Чаще всего асцит диагностируется у мужчин при циррозе печени. Патология может быть связана с повышением кровяного давления в системе воротной вены, воспалением брюшины, недостатком белка в организме.
- перитонит;
- мезотелиома брюшины;
- полисерозит, возникающий из-за ревматизма, ревматоидного артрита или системной красной волчанки;
- метастазы раковых образований в брюшине из других органов;
- цирроз печени, гепатоз, алкогольный гепатит;
- серьезные воспаления кишечника;
- хроническая сердечная недостаточность;
- обструкция венозных сосудов из-за сужения или закупорки;
- хронический гломерулонефрит;
- заболевания крови;
- панкреатит;
- патологии матки и придатков;
- недостаток питания, строгие диеты, вегетарианство.
Вопрос врачу: какие симптомы могут сказать о болезнях печени

Неприятный запах от ран у пациентов с циррозом печени и асците может быть обусловлен несколькими факторами, связанными с нарушениями в обмене веществ и общей токсичностью в организме. При циррозе печени происходит ухудшение функции органа, что приводит к накоплению токсичных веществ, таких как аммиак. Эти вещества могут вызывать изменения в составе крови, что, в свою очередь, отражается на запахе кожных покровов и открытых ран.
Асцит, как осложнение цирроза, может сопровождаться воспалительными процессами и инфекциями, что также способствует появлению неприятных запахов. Вода, скапливающаяся в брюшной полости, является идеальной средой для размножения патогенных микроорганизмов. Когда раны на коже начинают инфекции, их гнойное содержимое может издавать характерный, часто очень резкий и неприятный запах. Этот процесс усугубляется тем, что при циррозе обычно наблюдается ухудшение иммунного ответа организма, что делает его более уязвимым к инфекциям.
Кроме того, у пациентов с циррозом печени нередко наблюдается выраженное нарушение микрофлоры, что может приводить к дисбактериозу и изменению запаха. Изменение биохимических процессов в организме вызывает перестройку метаболизма, что также может отражаться на составе выделений из ран. Все это способствует формированию комплекса причин, определяющих неприятный запах, и требует комплексного подхода к лечению как основного заболевания, так и его последствий.
Врачи античности называли печень главным органом для человека. Гален считал его своего рода центром вселенной организма. Предложенные Гиппократом определения типов темперамента («соотношения частей») — меланхолик, холерик, флегматик — напрямую связаны с желчью, которую производит печень. И эта терминология используется до сих пор.
В традиционной китайской медицине иглотерапия используется для воздействия на меридиан печени, особенно при хронических заболеваниях. Современные гепатологи осознают огромную роль печени в функционировании ряда органов и систем, а В таких аспектах, как память, настроение и цвет кожи.
Печень является крупнейшим паренхиматозным органом, который занимает большую часть верхней области брюшной полости справа. Она функционирует как большой биохимический завод. Почти все белки в организме синтезируются именно здесь. Более того, печень отвечает за кроветворение, терморегуляцию и детоксикацию, участвуя в разнообразных процессах жизнедеятельности. Поэтому существование без печени невозможно.
Возможно ли заменить ее функцию, подобно тому, как происходит с почками, когда гемодиализ позволяет пациенту жить длительное время? Системы искусственной печени могут временно помочь в критической ситуации при тяжелой печеночной недостаточности. Однако в случае серьезных заболеваний долгое время поддерживать жизнь искусственно на данный момент невозможно. Поэтому, если радикальное лечение не помогает, возникает необходимость в трансплантации.
Что следует сделать для предотвращения заболеваний печени или своевременной диагностики? Какие симптомы должны вызывать опасения? Как набирать важные показатели состояния здоровья? К какому специалисту обратиться? Какие обследования провести, какие анализы сдать в первую очередь?
Об этом — профессор, доктор медицинских наук, заведующий отделением хирургических методов лечения и противоопухолевой лекарственной терапии НМИЦ хирургии им. А.В. Вишневского Алексей Владимирович Чжао.
Желтые склеры глаз, пожелтение кожи, темная моча (называемая «цвет пива»), обесцвеченный (белого цвета) стул — все это признаки нарушения оттока желчи, производимой печенью. Наиболее распространенной является механическая желтуха, когда камни мешают желчным протокам, затрудняя отток желчи в 12-перстную кишку.
Если это случилось, необходимо действовать незамедлительно. Следует сделать УЗИ брюшной полости и сдать кровь на анализ (общий, биохимический — определение билирубина, АЛТ, АСТ, щелочной фосфатазы, мочевины, креатинина, альбумина, холинэстеразы) и направляться к хирургу. (Более подробно о механической желтухе и методах ее лечения в НМИЦ хирургии имени А.В. Вишневского: https://www.vishnevskogo.ru/news/vopros-vrachu-kak-lechat-mekhanicheskuyu-zheltukhu).
Как поступить, если признаков желчнокаменной болезни и опухолей (они тоже могут препятствовать оттоку желчи) не обнаружено, и хирург сказал: «нашего ничего нет»? Следующий этап — гастроэнтеролог-гепатолог. Он оценит ситуацию на предмет желтухи другого генеза — паренхиматозной, в основе которой могут быть вирусные гепатиты. Если же гастроэнтеролог-гепатолог ничего не находит, а желтуха есть, то что делать дальше? Обратиться к врачу-инфекционисту, потому что речь может идти об инфекционном гепатите.
К сожалению, на практике последовательность действий часто оказывается иной. Сначала начинается желтуха, затем человек вызывает скорую помощь, его госпитализируют с подозрением на инфекционный гепатит. В инфекционной больнице он может провести несколько дней, пока не станет очевидно, что инфекций нет. Однако повторю: желтуха требует немедленного внимания, и диагноз необходимо устанавливать быстро, начиная с обращения к хирургу для исключения «механических» проблем.
Куда обычно идет человек, когда у него начинается кожный зуд? К дерматологу. Это правильно, но надо иметь в виду, что ответ может лежать вовсе не в области дерматологии. Очень часто причина — накопление желчных кислот под кожей (они раздражают рецепторы, и начинается кожный зуд). А накапливаются желчные кислоты именно тогда, когда плохо функционирует печень.
Возможны опухоли, вызывающие непрямое механическое препятствие оттоку желчи в кишку. Также бывают диффузные заболевания печени — первичный склерозирующий холангит, первичный билиарный цирроз. Либо другие состояния, при которых проявляются симптомы холестаза (нарушение оттока желчи), к примеру, лекарственный гепатит.
Он возникает из-за приема медикаментов (особенно при бесконтрольном использовании). Если вы начали принимать лекарство и внезапно заметили желтуху или зуд кожи, возможно, это и есть лекарственный гепатит. Куда направиться? К гастроэнтерологу-гепатологу.
Изменения на коже
Когда печень функционирует плохо, некоторые гормоны не перерабатываются должным образом, что приводит к расширению мелких подкожных сосудов. В этом случае могут появляться телеангиэктазии — сосудистые звездочки (также известные как «паучки»). Если вы заметили их наличие, это повод обратиться к гастроэнтерологу-гепатологу. Другим признаком проблем с печенью являются ксантелазмы — желтоватые бляшки на веках, возникающие из-за отложения холестерина под кожей.
Налет на языке, горечь во рту
Существует мнение, что язык – это отражение состояния желудка. Если язык имеет налет, белый или желтоватый, а вы также постоянно ощущаете горечь во рту, это сигнал к обследованию. Причиной может быть заброс желчи из 12-перстной кишки в желудок, а затем в пищевод, что связано как с различными заболеваниями печени (например, жировым гепатозом), так и с проблемами пищеварительной системы и наличием новообразований. Проведите УЗИ, сдайте анализы крови (общий, биохимический — билирубин, АЛТ, АСТ, щелочная фосфатаза и другие) и обратитесь к гастроэнтерологу-гепатологу.
«Печеночный» запах
Один из признаков заболевания печени — запах печеных яблок изо рта. Это специфический запах продуктов азотистого обмена, — возникает он от того, что печень не обеспечивает нормальную детоксикацию. Раньше врачи, обнаружив у пациента такой симптом, без всякой компьютерной томографии могли сказать: у вас что-то с печенью, давайте срочно обследоваться.
Кроме того, любой настойчивый неприятный запах изо рта может свидетельствовать о проблемах — либо в желудочно-кишечном тракте, либо в полости рта (например, зубы), либо в области миндалин. Стоит обратиться к врачу и выяснить первопричину. Это ключевой момент.
«Печеночные» ладони
Красные ладони (пальмарная эритема) могут быть одним из признаков заболеваний печени. Обязательно проконсультируйтесь с гастроэнтерологом-гепатологом!
Кровоподтеки и повышенная кровоточивость
Кровоподтеки, которые появляются ни с того, ни с сего (человек прикоснулся к чему-то, и сразу — огромный синяк), кровоточивость десен — с чем это может быть связано? 99% факторов свертывания крови синтезируется в нашей печени. Когда она работает плохо, свертываемость крови ухудшается, и наблюдается повышенная кровоточивость. Если врач-гематолог исключает «свою» патологию, ситуацию должен изучить гастроэнтеролог-гепатолог — проблема может быть именно в печени.
Увеличение объема живота
Один из более поздних признаков неполадок с печенью — увеличение объема живота. Человек пьет много жидкости, а мочи мало. Дело в том, что при определенных заболеваниях начинается асцит — накопление жидкости в брюшной полости. И это неотложный повод сделать УЗИ и обратиться к гастроэнтерологу-гепатологу.
Нарушения памяти, внимания, зрения, проблемы со сном, колебания настроения
Кому-то это может показаться неожиданным, но заболевания печени могут проявляться ухудшением памяти (например, «я только что это слышал, а теперь уже не помню»), снижением концентрации, изменениями сна (днем хочется спать, а вечером нет), ухудшением зрения и тремором рук. К клиническим признакам нарушенной функции печени относятся и проявления неадекватного настроения. Это может быть состояние, близкое к эйфории, когда человек смеется без видимой причины, или же, напротив, постоянная депрессия.
Когда по тем или иными причинам нарушается детоксикационная функция печени, в крови накапливается аммиак, который оказывает токсическое влияние на клетки головного мозга. Не надо списывать все на стресс, предполагать психическое расстройство или объяснять (если речь идет о пожилом человеке) деменцией. Сначала исключите заболевания печени.
Группы риска
На фоне перенесенных и хронических заболеваний печени, к сожалению, часто развиваются злокачественные опухоли. Ранняя диагностика этих опухолей — в руках пациента. Он должен сказать себе: меня ничего не беспокоит, но я знаю, что у меня хронический гепатит. Значит, раз в полгода — обязательно УЗИ брюшной полости и анализ на альфа-фетопротеин — этот фермент в 40-50% случаев может повышаться, если возникает первичный рак печени.
Следите за своим состоянием!
Если у вас нет ни одного из перечисленных симптомов — это отлично. Важно оставаться физически активным, избегать злоупотреблений алкоголем, жирной и острой пищей. Но не забывайте о регулярных медицинских осмотрах (или скрининге), ведь болезни могут формироваться бессимптомно. Проявляйте особую заботу о своем здоровье после 40 лет, так как в этой возрастной группе значительно увеличивается вероятность развития онкологических заболеваний.
И не забывайте прислушиваться к своему организму! Если что-то не нравится, не теряйте времени: сделайте УЗИ, сдайте анализ крови и обращайтесь к специалистам (начните с хирурга). Не нужно паниковать и сразу думать о самых редких и тяжелых болезнях. Просто — не теряйте времени.
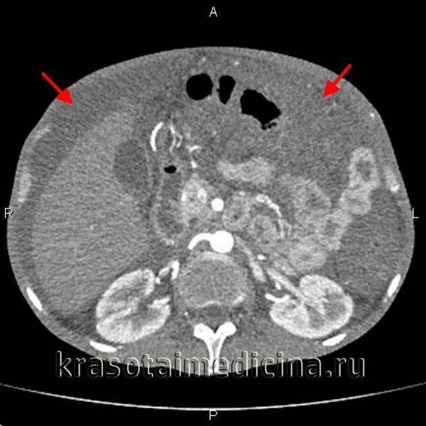
Циррозный асцит
Первым условием, которое возникает, является портальная гипертензия при циррозе печени. Давление в портальной системе превышает критические значения, а уровень оксида азота в крови увеличивается, что вызывает вазодилатацию. Когда состояние расширения сосудов ухудшается, уровень вазоконстрикторов, задерживающих натрий, возрастает, что приводит к снижению почечной функции и образованию асцитической жидкости, что и провоцирует декомпенсацию печени.
При сердечной недостаточности или нефротическом синдроме эффективный объем артериальной крови уменьшается, а вазопрессин, ренин-альдостерон и симпатическая нервная система активируются, что приводит к сужению сосудов почек и задержке натрия и воды. Пациенты обычно сообщают о прогрессирующем вздутии живота, которое может быть безболезненным или ассоциироваться с дискомфортом в животе, увеличением веса, ранней сытостью, одышкой в результате накопления жидкости и повышения давления в брюшной полости. Симптомы, такие как лихорадка, болезненность в животе и спутанность сознания, можно увидеть при спонтанном бактериальном перитоните.
У людей со злокачественным асцитом могут наблюдаться симптомы, связанные со злокачественными опухолями, включая потерю веса. В то же время у пациентов с асцитом вследствие сердечной недостаточности часто возникают одышка и отеки, а у тех с хилусным асцитом отмечаются диарея, стеаторея, недоедание, отеки, тошнота, увеличенные лимфатические узлы, преждевременная насыщаемость и лихорадка.
Пациенты с асцитом обычно демонстрируют тупость при осмотре, изменение тупости, наличие жидкой волны, признаки плеврального выпота и результаты, связанные с первопричиной асцита, такие как стигматы цирроза (ангиомы паука, ладонная эритема и коллатерали на стенках живота). У пациентов с прогрессирующим заболеванием печени могут быть желтуха, атрофия мышц, гинекомастия и лейконихия. Узелок в области пупка, не представляющий собой кишечник или сальник, например, узелок «сестры Марии Джозеф», указывает на возможное наличие рака как причины асцита. При сердечной недостаточности результаты физического осмотра могут включать венозный застой в яремных венах, а также застойные изменения в легких или периферические отеки.
Диагностика и лечение асцита
Диагностический парацентез брюшной полости с соответствующим анализом асцитической жидкости, вероятно, является наиболее быстрым и экономически эффективным методом диагностики причины асцита. Начальные тесты, которые должны быть выполнены на асцитической жидкости, включают в себя подсчет клеток крови как с общим количеством ядросодержащих клеток, так и с количеством полиморфноядерных нейтрофилов (PMN), а также бактериальную культуру путем инокуляции флаконов для культивирования крови у постели больного. Белок асцитической жидкости и альбумин измеряются одновременно с уровнем сывороточного альбумина для расчета градиента сывороточно-асцитного альбумина.
Дополнительные исследования следует проводить только при наличии клинически обоснованных подозрений на определённый диагноз. Например, уровни ЛДГ и глюкозы необходимо проверять в ситуациях, когда есть подозрение на вторичный перитонит. Также стоит рассмотреть альтернативные тесты, такие как амилаза, так как уровень выше 1000 единиц на литр может указывать на асцит, связанный с поджелудочной железой. Микробиологическое исследование на наличие микобактерий нужно проводить только при отсутствии сомнений в диагнозе туберкулеза. Другие маркеры асцитической жидкости, такие как лактат и pH, редко дают полезную информацию.
Особенности ведения пациентов с асцитом


В этой статье описываются подходы к лечению асцита, акцентируя внимание на методах обследования данной категории пациентов. Рассматриваются вопросы лабораторной диагностики, а также порядок и показания к диагностическому лапароцентезу. Также обсуждаются современные методы консервативной терапии и наиболее частые ошибки и осложнения, возникающие при лечении таких пациентов.
Асцит (от греческого «askos» — сумка, мешок) — это состояние, при котором наблюдается патологическое накопление жидкости в брюшной полости. Фоном для развития асцита в 81,5% случаев являются заболевания печени (цирроз печени, острый алкогольный гепатит, цирроз-рак), в 10% — злокачественные опухоли, в 3% — застойная сердечная недостаточность, в 1,7% — туберкулезный перитонит.
К более редким причинам асцита можно отнести острый панкреатит и нефротический синдром. При осмотре пациента можно получить много полезной информации. Если асцит возник быстро, кожа на животе будет натянутой и блестящей, а при пальпации может наблюдаться выраженная болезненность.
В случае постепенного накопления жидкости можно отметить расширение эпигастрального угла, нижние ребра перемещаются вперед и вверх, в силу чего грудная клетка расширяется. Повышение внутрибрюшного давления способствует возникновению пупочной, паховой, бедренной, послеоперационной грыжи. Наиболее выраженными бывают пупочная и пахово-мошоночная грыжи.
Рекомендуется использование корсетов или бандажей для пациента. Важно обратить внимание на кожу в области грыжевого мешка, так как она может истончаться. В нашей практике были зафиксированы 3 случая разрывов кожи грыжевого мешка, что сопровождалось вытеканием асцитической жидкости.
Крайне важно предостеречь пациентов с напряжённым асцитом о риске повреждения мягких тканей при ношении корсетов или при физической нагрузке. При накоплении 1,5-2 литров жидкости асцит можно выявить перкуперационно; при меньшем объёме жидкости темпанический звук будет присутствовать на всей поверхности живота.
При ненапряженном асците в вертикальном положении живот выглядит отвисшим, так как жидкость стекает вниз. Соответственно, при перкуссии живота стоя тимпанический звук отмечается в верхних отделах живота, притупление звука — в нижних. Если пациент лежит на спине, то содержащий воздух кишечник перемещается кверху, а жидкость смещается в задние части брюшной полости.
Темпанический звук будет слышен над передней частью живота, а тупой — над боковыми участками. Чтобы подтвердить наличие асцита, рекомендуется перкутировать пациент в различных позах: стоя, лежа на спине и на боках. Если пациент лежит на правом боку, темпанический звук будет обнаружен над левым боком, и наоборот.
Скопление жидкости в брюшной полости является самой частой, но не единственной причиной увеличения размера живота и растяжения его стенки. Также необходимо исключить беременность, растяжение кишечника газами, кисты (яичника, брыжейки, ретроперитонеальные), растяжение полых органов — желудка, мочевого пузыря и ожирение. Асцит в зависимости от количества асцитической жидкости подразделяют на минимальный (выявляется только при инструментальном ультразвуковом исследовании и компьютерной томографии брюшной полости), умеренный (легко выявляется при физикальном исследовании) и выраженный (при значительном увеличении размера живота).
К вторичным симптомам асцита относятся:
- плевральный выпот, преимущественно справа, возникающий из-за движения перитонеальной жидкости вверх через лимфатические сосуды диафрагмы или через дефекты диафрагмы;
• высокое стояние диафрагмы, ведущее к развитию дисковидных ателектазов в нижних отделах легких и смещению сердца кверху;
- варикозное расширение вен геморроя;
• формирование диафрагмальной грыжи, нарастание пищеводного рефлюкса (объясняют механическими факторами в условиях повышения внутрибрюшного давления) усугубляют повреждение слизистой оболочки пищевода при наличии варикозного расширения вен.
При первом выявлении асцита или подозрении на инфекцию асцитической жидкости, а также при наличии подозрений на злокачественные опухоли необходимо провести диагностический лапароцентез. Этот процесс включает извлечение небольшого объёма асцитической жидкости (обычно 50-300 мл) для дальнейшего клинического, биохимического, бактериологического и цитологического анализа. Анализ асцитической жидкости предоставляет важную информацию.
Методические рекомендации по выполнению парацентеза и уходу за пациентом

Извлечение асцитической жидкости осуществляется с использованием мягкого катетера, который входит в состав стерильного набора для парацентеза. Катетер вводится на 2 см ниже уровня пупка по средней линии тела или на 2-4 см медиальнее и выше переднего верхнего гребня подвздошной кости (см. рисунок 1). Для предотвращения подтекания асцитической жидкости, перед введением троакара кожа смещается вниз на 2 см.
Рисунок 1. Места введения катетера при выполнении парацентеза
Перед проведением парацентеза требуется получить информированное согласие пациента на выполнение данной процедуры.
При анализе асцитической жидкости первым делом проводится визуальная оценка её цвета: соломенно-желтый цвет характерен для цирроза печени, нефротического синдрома и сердечной недостаточности; геморрагические признаки указывают на канцероматоз или панкреатит; мутная жидкость наблюдается при перитоните и туберкулезе; молочно-белый цвет может означать хилезный асцит.
Исследование белка позволяет дифференцировать транссудат и экссудат: в транссудате белка менее 25 г/л (цирроз печени, гипоальбуминемия), в экссудате — более 30 г/л (малигнизация, воспаление). Общепринятым является подсчет градиента «сывороточный альбумин/альбумин асцитической жидкости» (SAAG), который позволяет предположить причину развития асцита, а также прогнозировать риск инфицирования асцитической жидкости. При SAAG менее 1,1 риск инфицирования возрастает в связи со снижением в асцитической жидкости содержания опсонинов.
При уровне SAAG более 1,1 наблюдаются следующие ситуации:
• острой печеночной недостаточности;
- синдром Бадда — Киари;
- метастатические отраслевые поражения печени;
• застойной печени при сердечной недостаточности;
SAAG менее 1,1 фиксируется при:
• канцероматозе брюшины, мезотелиоме;
- спонтанном бактериальном перитоните;
Ключевым показателем является клеточный состав асцитической жидкости. Если в 1 мм³ обнаруживается более 250 нейтрофилов, это свидетельствует об инфицировании жидкости. Любой выявленный бактериальный рост считается патологическим. Важно знать, что при посеве асцитической жидкости её необходимо немедленно помещать в разные флаконы (по 10 мл), предназначенные для посева как анаэробной, так и аэробной флоры. Это увеличивает информативность анализа до 90%.
Чрезвычайно важно цитологическое исследование, направленное на выявление атипичных клеток.
Основная терапия асцита состоит из нескольких этапов:
1. Лечение основного заболевания, приведшего к возникновению асцита.
2. Пациентам с выраженным асцитом рекомендуется соблюдать постельный режим в течение первых 4-7 дней лечения. Такой подход обоснован, так как горизонтальное положение тела способствует снижению ренин-ангиотензиновой активности и уменьшает тонус симпатической нервной системы. Вертикальное положение, напротив, активирует симпатическую нервную систему, уменьшает фильтрацию в почках и увеличивает реабсорбцию натрия, поэтому в первые 4-7 дней лечения пациентам с выраженным асцитом необходимо соблюдать постельный режим.
4. Ограничение потребления жидкости до 750-1000 мл в сутки при отсутствии температуры.
5. Диуретическая терапия. Применение диуретиков приводит к уменьшению объема плазмы, который восполняется, поскольку жидкость переходит из интерстициальной ткани (периферические отеки) и брюшной полости (асцит) в кровяное русло. Для лечения асцита наиболее часто применяют петлевые (фуросемид, этакриновая кислота) и калийсберегающие (спиронолактон, триамтерен) диуретики.
Первой линией терапии является спиронолактон (верошпирон). В случае недостаточной эффективности назначаются петлевые диуретики. Дозировка диуретиков подбирается в зависимости от степени выраженности асцита и контролируется по количеству выделяемой мочи и уровню электролитов.
Больной должен быть ориентирован на ежедневный подсчет диуреза и взвешивание, что позволяет контролировать достаточность диуретической терапии. Мочегонная терапия считается достаточной, если превышение выделяемой жидкости над потребляемой составляет не более 500 мл для больных без периферических отеков и 800-1000 мл для больных с периферическими отеками. Контролировать эффективность мочегонной терапии целесообразно также при взвешивании пациента (снижение массы тела за 1 неделю должно составлять 2,5-3 кг) и измерении окружности талии. Контролировать уровень электролитов в сыворотке крови необходимо не реже 2 раз в неделю.
6. Необходим постоянный динамический контроль за эффективностью диуретической терапии. Если состояние пациента стабильное, он может измерять диурез 2-3 раза в неделю, а также ежедневно проводить взвешивание. Важно провести беседу с родственниками пациента, чтобы объяснить им важность контроля диуреза и регулярного взвешивания, так как у пациентов с печеночной энцефалопатией возможны недостоверные данные. Родственники должны быть предупреждены о том, что первая стадия печеночной энцефалопатии может сопровождаться эйфорией, поскольку пациент может воспринимать себя как выздоровевшего и отказываться от лечения.
При значительном асците (особенно у пациентов с циррозом печени класса C по Чайлду-Пью) лечение должно проводиться в стационаре. В первые дни назначается бессолевая диета, а терапия комбинируется спиронолактоном и фуросемидом. Наличие небольшого объёма асцитической жидкости оправдано, поскольку это реже приводит к ухудшению функции почек.
7. Оценка эффективности диуретической терапии. В случае эффективности проводимой терапии при осмотре больного отмечается:
- снижение массы тела;
• уменьшение размера живота при измерении окружности талии;
- уменьшение периферических отеков;
• положительный суточный диурез;
- снижение уровня печеночной энцефалопатии (по тесту связывания чисел);
Рефрактерным называется персистирующий, несмотря на адекватное лечение, асцит. В этом случае ограничение приема натрия и назначение высоких доз диуретиков (400 мг/сут спиронолактона и 160 мг/сут фуросемида в течение 1-4 нед.) не приводят к эффективному диурезу, уменьшению массы тела, разрешению асцита. Диагностические критерии резистентного асцита указаны в таблице 1.
- уменьшение суточной экскреции натрия с мочой.
Причины возникновения рефрактерного асцита:
Критерии диагностики резистентного асцита (Moore K.P.)
4. Осложнения, возникающие при применении диуретиков:
- портосистемная энцефалопатия, развивающаяся без других провоцирующих факторов;
- почки и недостаточность — рост уровня креатинина более чем на 100%, до уровня выше 2 мг/дл у тех пациентов, которые реагируют на терапию;
- гипонатриемия — снижение концентрации сывороточного Na более чем на 10 ммоль/л до уровня ниже 125 ммоль/л;
- гипокалиемия — уровень калия в сыворотке ниже 3,5 ммоль/л;
- гиперкалиемия — уровень калия в сыворотке выше 5,5 ммоль/л;
• отсутствие ограничения приема жидкости при гипонатриемии;
- избыточное поступление натрия (через пищу или препараты);
Показаниями для лечебного лапароцентеза являются:
- недостаточность почек (аккуратно следует применять нестероидные противовоспалительные средства, аспирин, аминогликозиды, метоклопрамид);
Если возникшие осложнения в результате диуретической терапии не позволяют увеличить дозу диуретиков, то можно рассмотреть вариант гипербарической оксигенации. Если этот метод оказывается неэффективным, возможно проведение лечебного лапароцентеза.
При формировании правостороннего гидроторакса на фоне асцита торакоцентез показан с диагностической целью или при критическом накоплении уровня жидкости. Рефрактерный асцит часто формируется при злокачественных опухолях, поражающих органы брюшной полости и малого таза, и требует повторных лапароцентезов.
Таким образом, в процессе лапароцентеза одновременно извлекаются 4-6 литров асцитической жидкости, после чего вводится 20%-ный раствор альбумина в расчете 25 мл на 1 литр удаленной жидкости с целью поддержания достаточного объёма жидкости в сосудистом русле. Введение альбумина обязательно, так как это предотвращает риск развития гепаторенального синдрома и гиповолемии. Важно помнить, что удаление значительного объёма асцитической жидкости может значительно усугубить печеночную энцефалопатию.
• электролитные нарушения (в 38-41% случаев);
Компlications of diuretic therapy:
- энцефалопатия (в 25% случаев);
Однако необходимо помнить о возможном развитии гиперкалиемии, которая манифестирует нарастанием слабости, признаками сердечной недостаточности, аритмиями. На электрокардиограмме выявляются высокий остроконечный зубец Т, расширение комплекса QRS, удлинение интервала QT.
- гепаторенальный синдром (ГРС).
ГРС 1-го типа — быстропрогрессирующее (менее чем за 2 нед) повышение (в 2 раза) исходного уровня креатинина крови или уменьшение на 50% от исходного суточного клиренса креатинина. При ГРС 2-го типа почечная недостаточность развивается постепенно. Лечение заключается во введении раствора альбумина и вазоконстрикторов (терлипрессин).
Снижение суточного диуреза и рост уровней креатинина и мочевины могут указывать на развитие ГРС, что требует отмены диуретиков. Если уровень мочевины превышает 10 мг/100 мл, а уровень креатинина составляет более 0,5 мг/100 мл, то диуретики следует отменить хотя бы временно.
ГРС — это нарушение функции почек, связанное с расширением артериол и рефлекторной активацией сосудосуживающих факторов, что приводит к снижению фильтрации в клубочках.
Множественное удаление значительных объемов асцитической жидкости может привести к снижению содержания белка в ней, что, в свою очередь, теоретически повышает риск возникновения спонтанного бактериального перитонита (СБП). Это состояние характеризуется самопроизвольным инфицированием асцитической жидкости при отсутствии каких-либо интраабдоминальных причин, способствующих инфекции.
Диагноз СБП может подтверждаться при лапароцентезе:
• уровень нейтрофилов превышает 250 в 1 мм³;
• проведение посева асцитической жидкости позволяет выявить наличие патогенных микроорганизмов;
Отсутствие роста возбудителей в асцитической жидкости нейтрофилов 250 в 1 мм 3 свидетельствует о культуро-негативной форме СБП.
Для терапии СБП применяются антибиотики группы цефалоспоринов III поколения, а также фторхинолоны, амоксициллин с клавулановой кислотой.
Ведение пациента с асцитом является чрезвычайно непростой задачей, с которой сталкивается терапевт в своей ежедневной практике, и требует особого внимания лечащего врача и хорошей теоретической подготовки.
Пациента с асцитом следует немедленно госпитализировать в случае, если асцит:
• не поддается лечению;
• осложняется гепаторенальным синдромом или СБП.
Наиболее распространенными ошибками в управлении пациентом с асцитом являются:
• интенсивная диуретическая терапия;
• высокочастотные лечебные лапароцентезы без соответствующей заместительной терапии;
• недостаточная оценка роли вторичной бактериальной инфекции в развитии СБП.
Таким образом, ведение пациентов с асцитом суммарно можно представить в виде следующей схемы (рис. 2).
